PROTOCOLOS DE DENTÍSTICA - PREPARO E RESTAURAÇÃO CLASSE II COM COMPÓSITOS
CONSIDERANDO a filosofia de Odontologia Minimamente Invasiva, presamos máxima conservação de tecido saudável, vamos sempre priorizar técnicas menos invasivas.
Formamos esse blog devido a um desafio proposto pela faculdade cujo cursamos Odontologia. A princípio era apenas mais uma tarefa, mas, para nós, se tornou um hobby. Acreditamos poder alcançar colegas de todo Brasil, podendo auxiliar com nossa organização e nossas dicas, atravéz desse banco de protocolos online.
TECNICA 1 – SLOT HORIZONTAL
1. Profilaxia. Realizar limpeza das superfícies dentais com pasta profilática, escova robinson e/ou taça de borracha. Proporcionando assim um ambiente limpo, uma das três bases para se inciar qualquer procedimento odontológico (ambiente limpo, seco e bem iluminado).
2.
Selecionar
cor do compósito. Com o dente seco, inserir uma pequena porção da opção de
cor em esmalte sadio e fotopolamerizar, após definir a escolha, remover compósito do esmalte.
4.
5. Proteger
dente adjacente com tira metálica estabilizada por cunha de madeira (por
tira metálica ao lado do dente de proteção
e cunha entre matriz e dente a ser restaurado).
6. Remover tecido cariado com broca esférica lisa
em baixa rotação (utilizar mandril).
A seguir passos em imagens. Fonte: BARATIEIRI. Odontologia Restauradora – Fundamentos e Téc. Vol 1. Cap. 2.
7. Protocolo adesivo. Após limpeza da cavidade
deve-se iniciar os procedimentos adesivos.
7.1
Inicialmente, a dente adjacente deve ser
protegido com fita veda-rosca ou tira de poliéster, para assim limitarmos a
ação do acido e do adesivo.
7.2
Aplicar o
ácido fluorídrico 35% na cavidade e estender por 2mm além das margens (respeitar
tempo de 30s de ação do ácido em esmalte e 15s em dentina para exposição dos
substratos afim de micro retenção do adesivo em esmalte e tags de adesivo em
dentina).
7.3
Lavar cavidade
com agua em abundância.
7.4
Secar
cavidade. Por bolinha de algodão em
dentina para preservar a característica úmida do substrato. Secar esmalte até o
substrato se apresentar de forma branca opaca sem nenhum vestígio de umidade.
A seguir passo a passo em imagens. Fonte: BARATIEIRI. Odontologia Restauradora – Fundamentos e Téc. Vol 1. Cap. 2.
7.5 Adesivar
o dente. Utilizar pincel (microbrush) para levar o adesivo até a cavidade.
7.6 Volatizar
o adesivo. Utilizar jato de ar a 15cm de distancia por 15s.
7.7 Repetir o
procedimento. Adesivar secar novamente (como nos dois últimos passos).
7.8 Fotopolamerizar
o adesivo. Usar tempo recomendado pelo fabricante do adesivo.
7.9 Finalizado
sistema adesivo. Remover fita veda-rosca/tira de poliéster.
9. Instrumentos opcionais. Dependendo a
forma da cavidade, pode-se realizar a restauração a mão livre ou utilizar
matriz estabilizada por cunha de madeira para auxílio.
10. Técnica incremental. Inserir compósito de acordo com a técnica incremental, sendo porções de no máximo 2mm de diâmetro, respeitando o fator C. Fotopolamerizar a resina após cada incremento de acordo com a recomendação do fabricante.
11. Acabamento. Se houver excesso de adesivo recomenda-se o uso de lamina 12 associado ao cabo de bisturi. Observar integridade da resina composta, se houver excesso ou irregularidade, utilizar tira de lixa de poliéster ou tira de lixa metálica. Dica: REALIZAR MOVIMENTO EM “S”, para desgate interproximal com tira de lixa.
TECNICA 2 - MATRIZ METÁLICA PARCIAL BICONVEXA
1. Protocolo com uso de matriz metálica parcial
bi convexa associado ao grampo metálico. Essa técnica permite boa adaptação
de compósito para formar a estrutura nobre denominada crista marginal.
Geralmente utilizada para cavidades compostas com a ausência de uma das paredes
proximais.
2. Profilaxia. Após registro oclusal, realizar limpeza das superfícies dentais com pasta profilática, escova robinson e/ou taça de borracha. Proporcionando assim um ambiente limpo, uma das três bases para se inciar qualquer procedimento odontológico (ambiente limpo, seco e bem iluminado).
3. Selecionar
cor do compósito (secar bem dente e inserir uma pequena porção da opção de
cor no esmalte, fotopolamerizar, se
acertou a cor remover compósito).
4. Anestesia.
5.
Preparar
isolamento absoluto do campo operatório com grampo referente ao dente (200
a 2005 para molares, 206 a 2009 para pré-molares, 210 para anterior inferior,
211 para anterior superior). Priorizar estender o isolamento desde o dente a
ser restaurado até canino do lado contrário da mesma arcada. Demarcar o dique de borracha a o centro das incisais dos elementos anteriores e pré-molares e os centros de oclusao dos molares utilizando pincel atômico de ponta fina (popularmente conhecido como marcador de cd). Perfurar o dique com perfurador de Ainsworth (seguir os principios recomendados). Inserir o dique nos elementos, realizar as devidas amarrias e stop. Se necessário utilizar barreira gengival.
6. Proteger dente adjacente com tira metálica estabilizada por cunha de madeira (por tira metálica ao lado do dente de proteção e cunha entre matriz e dente a ser restaurado). É necessário verificar a integridade da matriz várias vezes.
7. Remover tecido cariado. Utilizar brocas
esféricas lisas para porção de esmalte e broca multilaminada para baixa
8.
Estrutura
de esmalte remanescente. Por vezes, há uma porção de estrutura
interproximal de esmalte sadia, mas, se essa estrutura não tiver suporte, ou
seja, for uma espécie de cavidade tipo túnel, deve-se refletir sobre a
necessidade de remoção, pois a mesma será uma PORÇÃO FRÁGIL. Utilizar recortador de margem proximal ou uma colher de dentina de forma a pressionar contra essa estrutura.
A imagem abaixo representa a remoção de tecido cariado e estrutura sadia de esmalte. Essa ponte não tem suporte portanto, é uma área de fragilidade.
9.
Adaptação
do sistema “Matriz/Cunha/Anel”.
9.1. Selecionar matriz parcial biconverxa de
acordo com o tamanho do dente a ser restaurado.
9.2. Selecionar cunha de madeira com
comprimento médio para dar apoio suficiente.
9.3. Estabilização da Matriz. Com um porta
agulha, inserir a matrix parcial onde a face proximal do elemento está sem
substrato. Também com porta agulha, inserir cunha de madeira entre a matriz e o
dente adjacente.
9.4. Apoio do anel metálico. Com pinça
porta-grampos levar o anel do sistema de matriz com intuído de exercer pressão
entre a cunha de madeira e a matriz parcial. A ação mecânica deste anel produz
uma convexidade melhor da matriz colaborando substancialmente á obtenção de
contato proximal.
9.5. Adaptação da parede proximal. É
interessante utilizar uma espátula de ponta romba para pressionar a matriz
contra a superfície do dente adjacente, proporcionando o contato proximal entre
o dente a ser restaurado e o dente adjacente. Sistema FINALIZADO.
10. Protocolo adesivo. Após limpeza da cavidade deve-se iniciar os procedimentos adesivos. Inicialmente, a dente adjacente deve ser protegido com fita veda-rosca ou tira de poliéster, para assim limitarmos a ação do acido e do adesivo.
10.1 Aplicar o ácido fluorídrico 35% na
cavidade e estender por 2mm além das margens da face oclusal (respeitar tempo
de 30s de ação do ácido em esmalte e 15s em dentina para exposição dos
substratos afim de micro retenção do adesivo em esmalte e tags de adesivo em
dentina).
10.2 Lavar cavidade com agua em abundância.
10.3 Secar cavidade. Por bolinha de algodão em dentina para preservar a característica
úmida do substrato. Secar esmalte até o substrato se apresentar de forma branca
opaca sem nenhum vestígio de umidade.
10.4 Adesivar o dente. Utilizar pincel (microbrush)
para levar o adesivo até a cavidade. Tomar cuidado com possível acumulo de adesivo
na margem gengival, pois pode comprometer o desempenho longitudinal da
restauração. DICA: retirar excesso com microbrush seco.
10.5 Volatizar o adesivo. Utilizar jato de
ar a 15cm de distancia por 15s.
10.6 Repetir o procedimento. Adesivar secar
novamente (como nos dois últimos passos).
10.7 Fotopolamerizar o adesivo. Usar tempo
recomendado pelo fabricante do adesivo.
10.8 Finalizado sistema adesivo. Remover
fita veda-rosca/tira de poliéster.
11.
Aplicação
do compósito. A cavidade está condicionada e preparada para receber a
resina composta.
11.1 Reconstruções da margem
proximal. O primeiro passo na
restauração propriamente dita de casos Classe ll com envolvimento de face
proximal é reconstruir de a parede ausente. Insere-se varios incrementos oblíquos
sendo fotopolamerizado cada incremento.
11.2 Deve-se utilizar espátulas
e pinceis para formar de maneira sutil a parede proximal e, e sua porção mais
superior, deve acompanhar a altura do dente adjacente e respeitar a convexidade
(sutil forma de u).
11.3 Transformamos a cavidade composta
em cavidade simples, sendo agora uma cavidade oclusal, facilitando assim a
sequencia operatória.
11.4 Prossiga a restauração de acordo
com a cavidade. Insira incrementos de dentina, respeitando a técnica de
incrementação escolhida. Após a dentina estar feita, finalize com incrementos
de esmalte. Sempre fotopolamerizando após cada incremento.
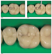
A seguir simulação dos passos de inserção de resina na cavidade.
11.5 Acabamento. Remova o dique de borracha. Realize acabamentos interproximais
com lamina de bisturi e/ou tiras de lixa. Faça verificação de contato oclusal
com fita de carbono e, se necessário, baixe a altura da restauração com brocas
fina (f) ou extra fina (ff) de acabamento.
11.6
Polimento. Idealmente deve polir a
restauração pelo menos 48h após o ato restauratório, respeitando assim a
contração tardia de alguns compósitos. No polimento utilizam-se taças de
borracha abrasivas na oclusal e discos abrasivos flexiveis nas paredes livres.
As imagens abaixo representam os passos para acabamento e poliemento da restauração.
TECNICA 3 - MATRIZ METÁLICA CIRCUNFERENCIAL
Essa técnica é indicada para restaurações classe ll que envolvem as duas faces proximais (geralmente MOD) ou em casos que não há boa adaptação da matriz parcial biconvexa.
1. Itens a ser utilizado: será utilizada matriz metálica em um porta matriz, usualmente o porta matriz de Tofflemire. Realizar registro oclusal e memorizar forma anatomica.
2. Profilaxia: Realizar limpeza das
superfícies dentais com pasta profilática, escova robinson e/ou taça de
borracha. Proporcionando assim um ambiente limpo, uma das três bases para se
inciar qualquer procedimento odontológico (ambiente limpo, seco e bem
iluminado).
3. Anestesia. Realizar técnica de bloqueio do ramo que inerva o dente a ser trabalhado. Pode-se realizar também anestesia infiltrativa que, por sua vez, anestesiará a gengiva que está sujeita a dilaceração por inserção inadequada do grampo retentor de dique de borracha.
4. Preparar isolamento absoluto do campo
operatório com grampo referente ao dente (200 a 2005 para molares, 206 a 2009
para pré-molares, 210 para anterior inferior, 211 para anterior superior).
Priorizar estender o isolamento desde o dente a ser restaurado até canino do
lado contrário da mesma arcada. Demarcar o dique de borracha a o centro das
incisais dos elementos anteriores e pré-molares e os centros de oclusao dos
molares utilizando pincel atômico de ponta fina (popularmente conhecido como
marcador de cd). Perfurar o dique com perfurador de Ainsworth (seguir os
principios recomendados). Inserir o dique nos elementos, realizar as devidas
amarrias e stop. Se necessário utilizar barreira gengival.
5. Seleção de cor da resina composta Com o
dente seco, inserir uma pequena porção da opção de cor em esmalte sadio e
fotopolamerizar, após definir a escolha, remover compósito do esmalte.
6.
Proteger
dente adjacente com tira metálica estabilizada por cunha de madeira (por
tira metálica ao lado do dente de proteção
e cunha entre matriz e dente a ser restaurado). É necessário verificar a integridade da matriz
várias vezes.
6.1
Estabilização
da Matriz. Com um porta agulha, inserir a matriz parcial onde a face
proximal do elemento está sem substrato. Também com porta agulha, inserir cunha
de madeira entre a matriz e o dente adjacente.
7. Acesso á lesão. Acesse a lesão de acordo com a necessidade do caso. Em lesoa extensas MOD pode-se optar pelo acesso por oclusal. Utilize brocas de grande diamentro em baixa rotação, em dentina. Remova toda lesão preservando o máximo de estrutura sadia. Ao dirigir a remoção de tecido cariado para as paredes proximais, não se esqueça de proteger os dentes adjacentes com tira metálica e cunha de madeira, para estabilização, e conferir sempre sua integridade.
10. Seleção da matriz. Existem diferentes tamanhos de matriz metálica, de 5mm e 7mm. Selecione uma cujo considere ideal para o tipo de dente que for restaurar. Tradicionalmente matriz de 5mm são utilizadas em restaurações de pré-molares e a matriz de 7mm em molares.
11. Inserção do porta matriz. No vídeo
acima também é mostrado como inserir o equipamento.
12. Protocolo adesivo. Após limpeza da cavidade deve-se iniciar
os procedimentos adesivos.
12.1A matriz já faz a proteção necessária dos dentes adjacentes.
12.2Aplicar o ácido fluorídrico 35% na cavidade e estender por 2mm além
das margens (respeitar tempo de 30s de ação do ácido em esmalte e 15s em
dentina para exposição dos substratos afim de micro retenção do adesivo em
esmalte e tags de adesivo em dentina).
12.3 Lavar cavidade com agua em abundância.
12.4 Secar cavidade. Por bolinha de algodão
em dentina para preservar a característica úmida do substrato. Secar esmalte
até o substrato se apresentar de forma branca opaca sem nenhum vestígio de
umidade.
12.5 Adesivar o dente. Utilizar pincel
(microbrush) para levar o adesivo até a cavidade.
12.6 Volatizar o adesivo. Utilizar jato de
ar a 15cm de distancia por 15s.
12.7 Repetir o procedimento. Adesivar secar
novamente (como nos dois últimos passos).
12.8 Fotopolamerizar o adesivo. Usar tempo
recomendado pelo fabricante do adesivo.
13. Inserção de compósito. Selecionada a técnica de sua escolha para implementação, construa primeiro as paredes proximais/crista marginal. Insira pequenos incrementos de resina de esmalte e fotopolamerize cada incremento.
13.1 Justapor a matriz com cunha de madeira. Insira
uma cunha de madeira para justapor a matriz junto ao dente, formando a
adaptação ideal das margens. Observe na imagem abaixo que apenas uma cunha é
utilizada por vez, na proximal qual você irá restaurar.
Abaixo segue demonstração de como confeccionar as cristas marginais.
14. Remoção do porta matriz. Com as cristas marginais restauradas, pode-se optar pela retirada do sistema de adaptação marginal. É extremamente importante lembrar que a superfície oclusal não pode ser contaminada por saliva, sangue ou qualquer fluído, afinal a mesma já foi condicionada, portanto, seja cauteloso.
15. Técnica restauradora estilo classe l. A partir deste ponto, a técnica é idêntica a restauração classe l, confira nosso post.




















Um conteúdo de muito valor e extremamente informativo, ficou excelente.
ResponderExcluir